Nuestros Servicios

Nuestro principal objetivo es la salud bucal de cada uno de nuestros pacientes, buscando resolver de una manera eficiente y con tratamientos garantizados su salud bucal y estética dental.
Ofrecemos una atención odontológica especializada, empleando tecnología de vanguardia para lograr excelentes resultados.

Βefore Αfter

TRATAMIENTOS DE ORTODONCIA

Aparte del color de los dientes, la gente se quejan de que sus dientes no están tan alineados como les gustaría que fueran. Los dientes torcidos no sólo cambian el aspecto de la sonrisa de una persona, también la función de la boca, así, que es importante solucionar los posibles problemas. Algunas personas pueden pensar que son demasiado viejos para usar aparatos para arreglar sus dientes, pero sería un error. Si bien los frenos están asociados tradicionalmente con los adolescentes, cada vez es más común ver a los adultos que utilizan estos aparatos, sobre todo ahora que hay tantas opciones discretas.

Βefore Αfter

RELLENOS DENTALES

Se trata de un modo de restaurar un diente dañado por caries y devolverle su función y forma normales. Si usted tiene un diente que requiere relleno, primero el dentista quitará el material cariado, limpiará la zona afectada y luego rellenará la cavidad hueca con un material de relleno. Al cerrar cualquier grieta o espacio por donde puedan entrar bacterias, se ayuda a evitar más caries.
Hay una diversidad de materiales de relleno disponibles, como oro, plata, plástico y porcelana. El dentista hablará con usted para determinar qué material es mejor para su caso, dependiendo de la magnitud del arreglo, dónde se necesita el relleno y el costo



Βefore Αfter

LIMPIEZA PROFUNDA

La periodontitis es la consecuencia de no tratar la gingivitis, es el agravamiento de la salud oral, principalmente del hueso y de la encía. Y trae muchas consecuencias como mal olor, mal aliento, sangramiento de encías, inflamación de las encías, mobilidad de los dientes, hasta la posible pérdida de los mismos. Este estado avanzado de la enfermedad se le conoce como periodontitis crónica y también puede estar relacionada con enfermedades generales, principalmente la diabetes y en mujeres embarazadas causa bajo peso del niño al nacer, entre otras cosas. También tenemos que tomar en cuenta, que en esta enfermedad periodontal, existen un sinnúmero de bacterias de diferentes tipos que nos pueden provocar otro tipo de enfermedades en cualquier parte de nuestro cuerpo.

Βefore Αfter

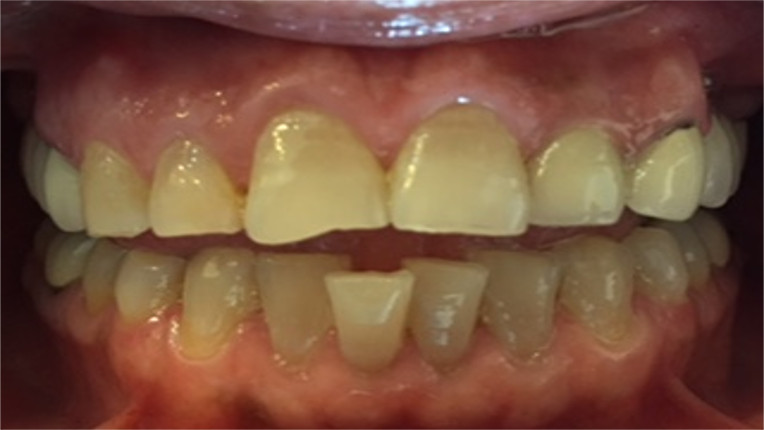
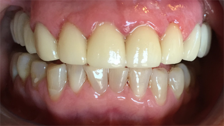
CORONAS

Las coronas y la mayoría de los puentes son prótesis que se colocan de manera fija. A diferencia de las prótesis removibles, que se pueden remover y limpiar diariamente, las coronas y los puentes fijos se cementan sobre los dientes o implantes existentes, y sólo un dentista puede extraerlos. Una corona se utiliza para cubrir completamente un diente destruído. Además, se puede utilizar para mejorar el aspecto, la forma o la alineación del diente. Una corona también se puede colocar sobre un implante para lograr la forma y la estructura funcional de un diente.








Βefore Αfter

BLANQUEAMIENTO (1 HORA)

El blanqueamiento de dientes (teeth whitening), es un tratamiento cosmético simple, si se hace de la manera adecuada. Consiste en cambiar el color y tono del esmalte del diente natural y es un procedimiento cosmético ideal para mejorar y resaltar la belleza de su sonrisa.

Para muchos pacientes se ha convertido en la preocupación dental # 1.

Βefore Αfter

GINGIVECTOMÍA

Muchos pacientes presentan lo que llamamos sonrisa gingival, normalmente por que muestran mas encías que dientes al sonreír o la arquitectura gingival esta desproporcionada. La gingivectomía es una cirugía periodontal estética, muy sencilla que se realiza bajo anestesia local, previo a un análisis y mediciones especificas para poder definir la cantidad de recorte de encías que se va a realizar para armonizar la linea de la sonrisa. Es un procedimiento rápido, indoloro y en el cual se obtienen resultados inmediatos.

Βefore Αfter

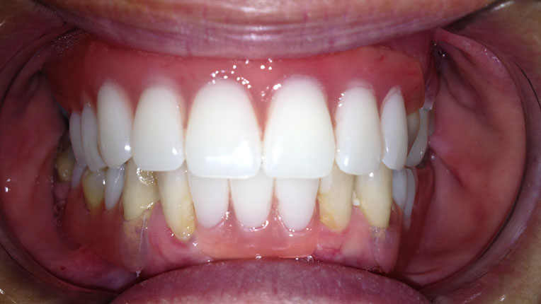
DENTADURA PARCIAL

Las dentaduras parciales pueden realizarse para reponer algunos dientes. Pueden ser realizadas con una base de metal y resina, con una base de resina y acrílico duro o firme o también con una base de acrílico flexible.

Βefore Αfter

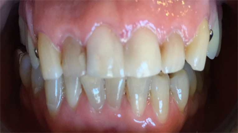
DENTADURA PARCIAL

Las dentaduras parciales pueden realizarse para reponer algunos dientes. Pueden ser realizadas con una base de metal y resina, con una base de resina y acrílico duro o firme o también con una base de acrílico flexible.


top